Best Dentist in Mansarovar
Dr. Neha Gupta
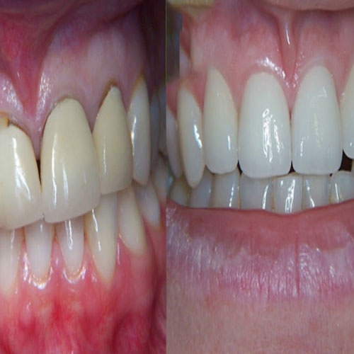
Dr. Neha Gupta, a leading dentist in Mansarovar, Jaipur, excels in all facets of dental surgery with a special focus on gums and oral health. Dr. Neha Gupta Board-certified dentist dedicated to delivering exceptional dental care with the highest standards of professionalism and expertise, ensuring your oral health is in expert hands.

